Coronary

Angiography

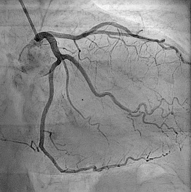
What is Coronary Angiography?

Coronary Angiography is a specialized diagnostic procedure used to visualize the blood flow in your heart’s arteries. It helps detect blockages or narrowing in the coronary arteries, which can lead to chest pain (angina), heart attacks, or other cardiac conditions. It’s considered the gold standard for evaluating coronary artery disease (CAD).

Why is Coronary Angiography Done?

This test is essential for:

  • Detecting blockages in the heart arteries

  • Evaluating chest pain, breathlessness, or heart attack symptoms

  • Planning further treatments like angioplasty or bypass surgery

  • Assessing the severity of coronary artery disease (CAD)

How is Coronary Angiography Performed?

  • A thin catheter is inserted through a blood vessel in your arm or groin.

  • A special dye (contrast) is injected into the coronary arteries.

  • Real-time X-ray images (angiograms) show the flow of blood in your heart.

  • The procedure typically takes 30 to 45 minutes, and you’re monitored throughout.

Is It Safe?

Yes, coronary angiography is generally safe and performed under local anesthesia. Minor risks may include bleeding or allergic reactions to the contrast dye. It is performed in a fully-equipped cath lab by experienced cardiologists.

When Should You Consider This Test?

Your doctor may recommend coronary angiography if you have:

  • Persistent chest pain or discomfort

  • Abnormal ECG or stress test results

  • History of heart attack or heart failure

  • High risk of coronary artery disease

Why Choose Us for Coronary Angiography?

  • Advanced cath lab facilities

  • Expert interventional cardiologists

  • Real-time imaging and immediate reporting

  • Safe, comfortable, and well-monitored environment

  • Personalized care and treatment planning post-test

Dr. Hemant Khemani is a highly skilled and compassionate Interventional Cardiologist with over 15 years of experience in the diagnosis, treatment, and management of cardiovascular diseases.

© 2024 All Right Reserved | Designed By Rebecca Digital